Wpływ wąskiego podniebienia na zdrowie dziecka
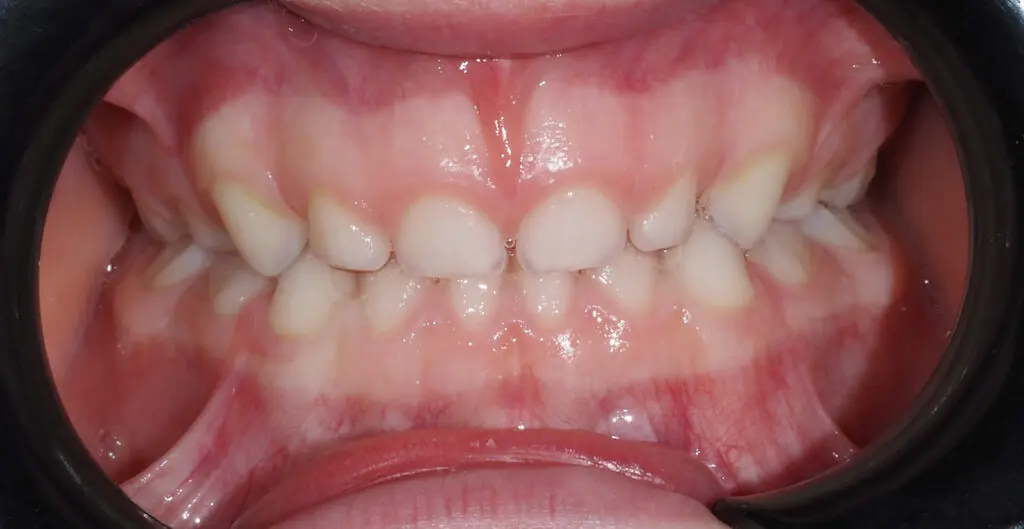
Jeśli jesteś rodzicem kilkulatka, który jakoś tak szybko się męczy, w nocy wierci się niemiłosiernie, chrapie i sapie. Może często ma otwartą buzię, w której z dumą obserwujecie równiutkie, bielutkie ząbki, ustawione idealnie jeden przy drugim? O! jak tutaj!

No czym się tu martwić? Piękny uśmiech! Niby tak, ale ten pacjent ma już 5 lat. W szczęce i żuchwie trwa intensywny proces zanikania korzeni mlecznych siekaczy i wychodzenia stałych. Tak powinno być, ale jeśli miejsca jest zbyt mało, stałe zęby nie spieszą się do wychodzenia. W wielu gabinetach rodzic usłyszy, żeby przyszli, jak wyjdą szóstki i siekacze.
Mijają dwa lata. Szóstki wyszły albo nie, siekacze dalej się nie spieszą, więc czekamy – a dziecko rośnie. Raz. Tylko raz, bo ten proces się już nie powtórzy. A najwiekszy wzrost przypada na 7. rok życia, który właśnie mija.
Jak wąskie podniebienie wpływa na rozwój dziecka
Popatrzmy na kolejne zdjęcie tego samego pacjenta.

To podniebienie. Zdjęcie niewyraźne, bo buzia jest maleńka, i nawet najmniejsze lusterko z trudem się mieści, a dziecku trudno z nim oddychać. Podniebienie jest wąskie i wysokie. Dziecko chodzi do logopedy od 2 lat, cała rodzina dzielnie ćwiczy kobrę, kląskanie i artykulację (albo i nie, bo serio, doba nie jest z gumy, a skoro mowa się poprawia, to chyba tyle wystarczy?) Niestety, język dalej leży na dole płasko jak naleśnik na patelni, buzia ciągle jest otwarta, ale przecież tata też tak ma i żyje, więc o co chodzi?
Już tłumaczę. Żeby prawidłowo rosły szczęki, potrzebujemy odpowiednich warunków: języka wklejonego w podniebienie, odpowiedniego napięcia warg i policzków oraz oddychania nosem. Jeśli któregoś elementu brakuje, pojawia się problem, najczęściej w postaci zwężenia szczęki i żuchwy. I o ile zęby mleczne jakoś się mieszczą, o tyle na stałe już poważnie brakuje miejsca. Ale nie to jest największym problemem, choć to właśnie krzywe zęby są najczęstszym powodem zgłaszania się rodziców do gabinetów.
Dlaczego wczesne leczenie ortodontyczne jest kluczowe dla zdrowia dziecka?
Prawdziwym dramatem jest kształt i szerokość podniebienia. Podniebienie jest sufitem buzi, ale podłogą nosa. Takie wąskie podniebienie to najczęściej również wąskie drogi oddechowe. I to jest główny powód leczenia wczesnego u 4- bądź 5-latka. Poszerzenie i wypłaszczenie podniebienia pozwala na prawidłowy dalszy wzrost dziecka. Nagle okazuje się, że dzieci przestają chrapać, a terapia logopedyczna rusza z kopyta.
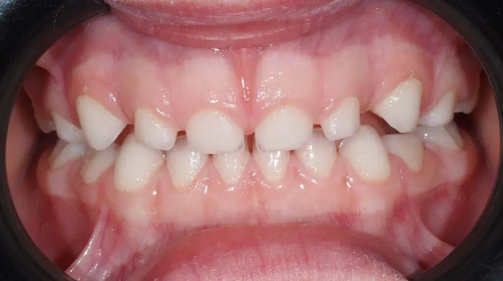
Tak wygląda powyższy pacjent po kilku miesiącach leczenia. Czy to dziecko już nie będzie potrzebować leczenia ortodontycznego? Tego nie wiemy, ale ma teraz szansę na prawidłowy dalszy wzrost, co ogranicza zakres potrzeb ewentualnego późniejszego leczenia. Tak powinien wygladać zgryz 5-latka bez interwencji ortodontycznej. Jeśli zgryz Twojego dziecka tak nie wygląda, zgłoś się do lekarza, żeby nie stracić tego cennego potencjału wzrostowego. Bo rośniemy tylko raz.
PRZED


PO LECZENIU


